We are dedicated to provide the beautiful, healthy smile you have always wanted
GALLERY
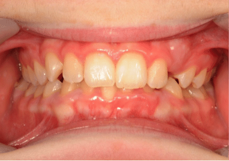
John was worried about his front teeth ‘sticking out’ and his teeth not being straight. John was treated with a Twin Block appliance and fixed braces when he was 11¾ years old. Treatment took 2½ years.
Peter had two adult canines that had not erupted by themselves, and an extra tooth on the roof of his mouth. Peter’s treatment started when he was 17 years old. He wore fixed appliances for 2 years.
Emma was missing a front tooth on the right-hand side, and she disliked the gap between her front teeth. Her treatment started when she was 14 years old. She wore fixed braces for two years and had a false tooth placed to replace the missing tooth at the front after her braces were removed. The size of the two front teeth was increased after treatment using a tooth-coloured material.
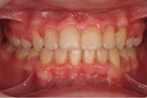
Charlie’s top teeth were not straight, and an upper canine tooth had erupted in the roof of his mouth. His treatment started when he was 15 years old. He wore fixed appliances for 2½ years. He did not keep his teeth as clean as he should have during treatment, hence the brown and white marks on the teeth.